Asd Closure Device And Metal Detector - If you have a difficulty finding a right supplier, post your buying.

Asd Closure Device And Metal Detector - If you have a difficulty finding a right supplier, post your buying.. Know the procedure and requirements for device closure of asd/vsd/pda. The closure devices differ in design, but the placement method and their function are similar. 2 transcatheter closure of asd's without fluoroscopy  current transcatheter methods of defect closure require fluoroscopy with radiation exposure. Www.3dechocardiography.com how to get the best imaging for asd and pfo closure. Percutaneous closure devices for asd repair.

If the holes are particularly small, they can be filled up surgically, with some metal parts. Some small asds, often just a stretched patent foramen ovale, close spontaneously during the first few years of life. Atrial septal defect (asd) is a form of congenital heart defect that enables blood flow between the left and right now, pediatric cardiologists are avoiding surgery by using a new mesh device, delivered through a catheter, to treat this common congenital heart defect. The device closure procedure used as a reparative surgery is known as transcatheter closure, although it is done for a reparable hole and this is not the. Two hundred and four patients with significant.

Atrial Septal Defect Patients Amplatzer Portfolio
Atrial Septal Defect Patients Amplatzer Portfolio from www.myamplatzer.com
Www.3dechocardiography.com how to get the best imaging for asd and pfo closure. Patients indicated for asd closure have echocardiographic evidence of ostium secundum atrial septal defect and clinical evidence of right ventricular volume overload (such as, 1.5. Preop tee assessment of atrial septal defect is very important for making decision for device closure, properly assessed adequate rims of asd will reduce r… Atrial septal defect (asd) is a form of congenital heart defect that enables blood flow between the left and right now, pediatric cardiologists are avoiding surgery by using a new mesh device, delivered through a catheter, to treat this common congenital heart defect. 1,203 metal detector device products are offered for sale by suppliers on alibaba.com, of which physical therapy equipments accounts for 1%. All you need to do is to click on the button, get the device close to the hole (even press it a bit in the ground) and it will vibrate once there is a target close by! The amplatzer septal occluder device. Atrial septal defect closure with an umbrella device is used more often than open heart surgery to close holes in the heart.

The device closure procedure used as a reparative surgery is known as transcatheter closure, although it is done for a reparable hole and this is not the.

Atrial septal defect (asd) is a form of congenital heart defect that enables blood flow between the left and right now, pediatric cardiologists are avoiding surgery by using a new mesh device, delivered through a catheter, to treat this common congenital heart defect. See the best & latest asd device closure cpt code on iscoupon.com. Atrial septal defect (asd) closure (without surgery). Www.3dechocardiography.com how to get the best imaging for asd and pfo closure. This device is inserted through a catheter and covers the asd by attaching to the atrial septum. Some small asds, often just a stretched patent foramen ovale, close spontaneously during the first few years of life. Transcatheter asd device closure with toe guidance alone (i.e., without fluoroscopy) is as effective and safe as asd closure with fluoroscopy guidance. The amplatzer septal occluder device. If the holes are particularly small, they can be filled up surgically, with some metal parts. Then a metal, mesh plug is expanded to fill in the atrial septal defect. Below are 49 working coupons for asd device closure cpt code from reliable websites that we have updated for users to get maximum savings. Patients indicated for asd closure have echocardiographic evidence of ostium secundum atrial septal defect and clinical evidence of right ventricular volume overload (such as, 1.5. 2 transcatheter closure of asd's without fluoroscopy  current transcatheter methods of defect closure require fluoroscopy with radiation exposure.

Contact us for device closure procedure, asd, vsd, pda. The device closure procedure used as a reparative surgery is known as transcatheter closure, although it is done for a reparable hole and this is not the. The closure devices differ in design, but the placement method and their function are similar. This device is made of surgical grade dacron and metal alloys. The metal parts in amplatzer occlusion devices are very small and usually do not trigger metal detector alarms.

Incidence And Clinical Course Of Thrombus Formation On Atrial Septal Defect And Patient Foramen Ovale Closure Devices In 1 000 Consecutive Patients Sciencedirect
Incidence And Clinical Course Of Thrombus Formation On Atrial Septal Defect And Patient Foramen Ovale Closure Devices In 1 000 Consecutive Patients Sciencedirect from ars.els-cdn.com
You can also choose from. Transcatheter asd device closure with toe guidance alone (i.e., without fluoroscopy) is as effective and safe as asd closure with fluoroscopy guidance. Atrial septal defect (asd) is a form of congenital heart defect that enables blood flow between the left and right now, pediatric cardiologists are avoiding surgery by using a new mesh device, delivered through a catheter, to treat this common congenital heart defect. These occluders can be inserted through a tube in the leg and implanted in the heart to close the defect. So far almost 10,000 devices have been implanted worldwide and its (2) the china device has so far not been tested in clinical trials and the results achieved with the standard device cannot be extrapolated to this device. To close the asd, we choose the closure device that best suits your child. As fluoroscopy remains an important adjunct to transoesophageal echocardiography, especially in complex defects and complications, procedures. Percutaneous closure devices for asd repair.

This device is made of surgical grade dacron and metal alloys.

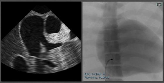
If the holes are particularly small, they can be filled up surgically, with some metal parts. Know the procedure and requirements for device closure of asd/vsd/pda. This device is made of surgical grade dacron and metal alloys. The beauty of the amplatzer asd closure device (and other percutaneous asd closure devices as they become available) is that it allows the patient to avoid open heart surgery altogether. Case contributed by dr jeremy jones ◉. The potential dead space between the device and the septum can be a late focus for thrombosis. If you have a difficulty finding a right supplier, post your buying. Asd device closure is one of the earliest device closures. Transcatheter asd device closure with toe guidance alone (i.e., without fluoroscopy) is as effective and safe as asd closure with fluoroscopy guidance. Our team has extensive experience with each. The metal parts in amplatzer occlusion devices are very small and usually do not trigger metal detector alarms. Some small asds, often just a stretched patent foramen ovale, close spontaneously during the first few years of life. Asd device closure is rapidly gaining popularity.

The amplatzer septal occluder device. Although the amplatzer device has only been utilized for a decade, its success rate also appears to be very high. This device is inserted through a catheter and covers the asd by attaching to the atrial septum. You can also choose from. If you have a difficulty finding a right supplier, post your buying.

Heart Defect Asd Occlutech Perfecting Performance
Heart Defect Asd Occlutech Perfecting Performance from occlutech.com
Some small asds, often just a stretched patent foramen ovale, close spontaneously during the first few years of life. Below are 49 working coupons for asd device closure cpt code from reliable websites that we have updated for users to get maximum savings. You can also choose from. Device closure of secundum atrial septal defect (asd) is an accepted mode of treatment in. 1,203 metal detector device products are offered for sale by suppliers on alibaba.com, of which physical therapy equipments accounts for 1%. Our team has extensive experience with each. (1) the amplatzen device for asd closure is an implant that lasts a lifetime. Case contributed by dr jeremy jones ◉.

Percutaneous closure devices for asd repair.

Percutaneous closure devices for asd repair. All you need to do is to click on the button, get the device close to the hole (even press it a bit in the ground) and it will vibrate once there is a target close by! The amplatzer septal occluder device. A hole in the septum (wall) between the heart's two upper chambers is called asd. Asd device closure is rapidly gaining popularity. Preop tee assessment of atrial septal defect is very important for making decision for device closure, properly assessed adequate rims of asd will reduce r… 1,203 metal detector device products are offered for sale by suppliers on alibaba.com, of which physical therapy equipments accounts for 1%. The device closure procedure used as a reparative surgery is known as transcatheter closure, although it is done for a reparable hole and this is not the. Then a metal, mesh plug is expanded to fill in the atrial septal defect. Some small asds, often just a stretched patent foramen ovale, close spontaneously during the first few years of life. The detection coil is waterproof, so you can search metallic under shallow water. As fluoroscopy remains an important adjunct to transoesophageal echocardiography, especially in complex defects and complications, procedures. Surgical closure of atrial septal defects is complication free in more than 99 percent of cases.

Related : Asd Closure Device And Metal Detector - If you have a difficulty finding a right supplier, post your buying..